颗粒骨打压植骨术治疗髋臼骨缺损的早期观察
2010-11-26 文章来源:骨科在线 我要说
骨科在线版权所有,如需转载请注明来自本网站
李子剑 张克 田华 刘岩 刘延青 蔡宏 李锋 娄思权
责任作者:张克 北京大学第三医院骨科
【摘要】目的:探讨颗粒骨打压植骨技术治疗髋臼骨缺损的早期临床结果。方法:对需要进行髋关节置换或翻修手术又合并不同类型髋臼骨缺损的患者实施颗粒骨打压植骨结合骨水泥全髋关节置换术,其中髋臼发育不良合并髋关节骨性关节炎7例,髋臼骨溶解假体松动翻修5例,类风湿性关节炎2例,髋关节陈旧结核假性融合1例。结果:随访4-6年的近期疗效,除1例出现影像学透亮带外其余植骨全部获得愈合,Harris评分由术前的平均35.8分,提高到术后的平均81.3分,无并发症发生。以任何原因接受翻修为随访终点,假体的短期生存率为100%。结论:颗粒骨打压植骨技术结合骨水泥全髋关节置换术治疗髋关节置换或翻修术中髋臼骨缺损的早期效果良好。
【关键词】髋关节;骨缺损;打压植骨;翻修;置换
髋臼骨缺损是无论初次髋关节置换还是髋关节翻修手术时都可能遇到的棘手问题,对骨缺损的处理直接影响到假体的固定和长期生存率。初次置换时的骨缺损可以是由于髋臼发育不良或影响髋臼骨性结构的疾病造成,如类风湿性关节炎、骨性关节炎、代谢性疾病、肿瘤、感染或既往的手术。在髋关节翻修时常常会遇到由于骨溶解或假体的移位造成的髋臼骨缺损,特别是在多次翻修时,骨缺损往往更为严重。
在髋臼侧对骨缺损的处理方法可以选择大块的结构性植骨或颗粒骨植骨;可以选择传统的颗粒骨植骨技术或打压植骨技术;可以选择骨水泥假体或非骨水泥假体。我们总结了采用颗粒骨打压植骨技术结合骨水泥假体来处理初次髋关节置换或髋关节翻修时的髋臼骨缺损的近期疗效。
1 临床资料与方法
1.1 一般资料
自2004年7月至2006年5月间我院采用颗粒骨打压植骨技术结合骨水泥全髋关节置换术治疗的各型髋臼骨缺损患者15例,其中男性患者4例,女性患者11例,右侧10例,左侧5例。平均年龄55.3岁(36~72岁),随访4-6年。其中髋臼发育不良合并髋关节骨性关节炎7例,髋臼骨溶解假体松动翻修5例,类风湿性关节炎2例,髋关节陈旧结核假性融合1例。术前、术后髋关节功能评价采用Harris评分系统。术前、术后摄髋关节X线片,观察髋关节假体的位置和植骨愈合情况。
1.2 髋臼骨缺损分型
基于骨缺损累及的解剖部位,髋臼缘、髋臼腔还是髋臼内壁,可对骨缺损进行分型。采用AAOS(American Academy of Orthopedic Surgeons)分型系统进行骨缺损的分型,本组患者中Ⅰ型骨缺损8例,Ⅲ型6例,Ⅱ型1例、没有Ⅳ型和Ⅴ型患者。
1.3 手术方法
在对髋臼存在骨缺损的病例进行手术前计划时,首先要判断这一缺损是包容性还是非包容性骨缺损,对于包容性骨缺损可以直接采用植骨、打压,而对于非包容性骨缺损,要借助金属网(wire mesh)将非包容性骨缺损转化为包容性骨缺损,继而进行植骨、打压。最为准确的分型是在手术中,对髋臼进行充分显露后完成的。打压植骨技术的基本目标是通过强有力的打压获得坚固的骨重建,对髋臼的重建必须达到:髋臼完整性的完全恢复;骨或金属网对臼杯的完全覆盖;移植骨被完全的限制住并牢固的固定;假体的牢固固定以及髋关节正常机械功能的重建。
手术于超净层流手术室内完成,采用前外侧Hardinge入路,充分显露髋臼后对骨缺损类型与程度进行评价。用金属网将非包容性骨缺损转化为包含性骨缺损,逐层填入直径约8-10mm的异体松质骨颗粒,以专用打压器进行强有力的打压,直至将骨缺损完全充实,运用第三代骨水泥技术,选择标准大小髋臼杯,真空搅拌抗生素骨水泥,持续加压将骨水泥渗透入骨小梁中,达到内锁机制,放置髋臼杯于解剖位置。
选用史赛克公司的Exeter全骨水泥假体,X-Change打压器械,Palacos抗生素骨水泥,第三代骨水泥技术。
1.4 术后康复
卧床期间进行床上主动的肌肉收缩练习,拔除引流管后即可下床,患肢避免过度的屈曲和内外旋,6周内部分负重,术后3个月、6个月和1年进行临床和影像学检查,以后每年一次的复查。
1.5 典型病例
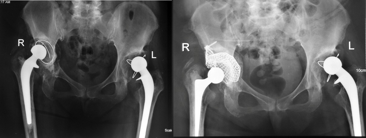
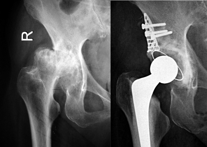
⑴Ⅰ型缺损:髋臼发育不良合并骨性关节炎,髋臼上缘Ⅰ型骨缺损,以金属网包含上缘缺损螺钉固定后,打压植骨,三代骨水泥技术全髋关节置换。
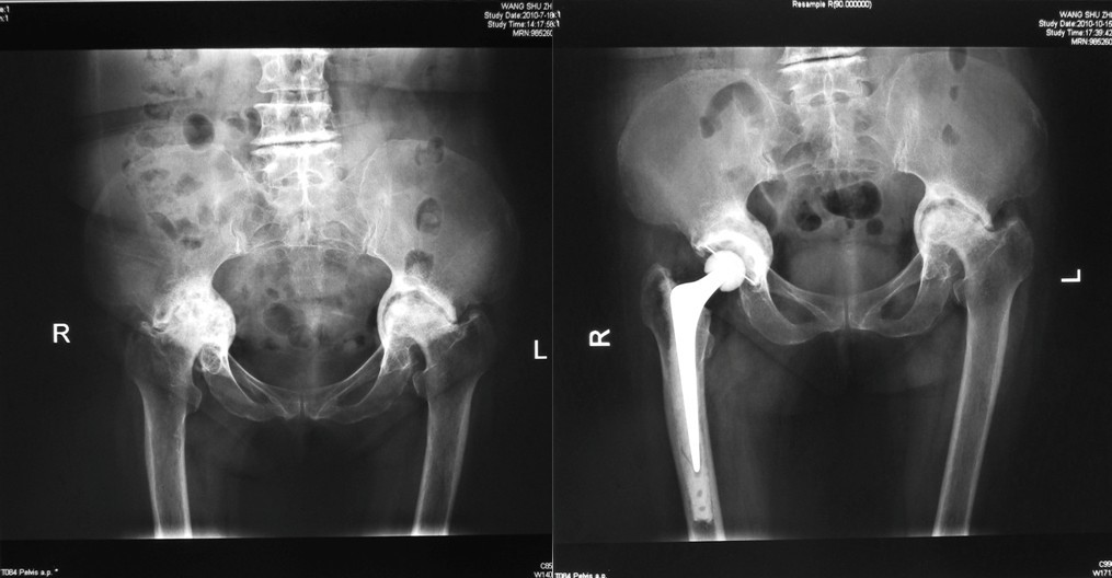
⑵Ⅱ型缺损:类风湿性关节炎合并髋臼内陷,髋臼缘完好。行颗粒骨打压植骨,三代骨水泥技术髋关节置换。
⑶Ⅲ型缺损:右髋关节置换术后骨溶解、假体无菌性松动造成髋臼巨大Ⅲ型骨缺损,行翻修术,以金属网包含髋臼上缘及髋臼内壁后,打压植骨,三代骨水泥技术全髋关节置换。
2 结果
患者髋关节Harris评分由术前的平均35.8分提高到术后的平均81.3分,平均随访4-6月,植骨愈合良好, X线片上一例出现透亮带,无症状予继续观察,未行再次翻修,没有发生伤口或深部感染。无坐骨神经麻痹和髋关节脱位发生。
3 讨论
髋臼骨缺损是在初次髋关节置换和翻修手术中都会遇到的问题,对骨缺损的处理方法的选择会直接影响到假体的远期生存率甚至是术后的近期效果,文献中有各种方法的报道,结果也不尽相同。
髋臼缘缺损时,有采用髋臼加强环的做法,但髋臼加强环与髋臼骨质的弹性不同,造成两者无法很好的匹配,而导致假体失败,再次翻修时髋臼的骨缺损将更为严重。
还有采用自体股骨头结构性植骨治疗髋臼缘缺损,然而其平均随访16.5年时假体失败率达29%,可能是由于固定技术和融合不完全而出现植骨的吸收。Hooten报道了两例大块异体骨植骨后的情况,尽管患者临床表现良好,影像学上移植骨与宿主骨达到结合,但镜下检查骨融合是有限的,血管再生进入结构性植骨块的深度不超过2mm,甚至是在术后48个月以后,异体骨的血管再生和塑型都是很低的。
另外,还有采用大号臼杯(Jumbo)或双杯假体(double bubble cup)来覆盖骨缺损、恢复髋关节旋转中心的方法,这一技术的远期成功率还未见报道,但一旦失败将面临更为严重的骨缺损。
在存在骨缺损时,由于骨水泥无法有效的渗入硬化骨内,因此假体无法获得足够的稳定性,但对于那些高龄、预计寿命较短的患者,骨缺损以骨水泥来填充也不失为一种可供考虑的方法。
颗粒骨打压植骨技术使用金属网包容骨缺损,使非包容性骨缺损转为包容性骨缺损,金属网的优势是可塑性高,与骨床贴附紧密并可以根据术中缺损的实际情况进行随意裁剪。同时采用新鲜冷冻松质骨填充缺损,用专用器械进行强有力的打压,使骨颗粒填充密实牢固,提高了骨愈合的能力与机会。
运用打压植骨技术治疗髋臼骨缺损必须要做到:
① 恢复丢失的骨量;
② 重建髋关节的旋转中心;
③ 利用金属网将髋臼内壁或周缘的节段性骨缺损转化为腔隙性骨缺损;
④ 利用特殊的打压器械和强有力的打压技术来获得植骨的稳定;
⑤ 采用标准大小的骨水泥髋臼杯。
4 结论
本文报道了颗粒骨打压植骨术治疗髋臼骨缺损的近期疗效,结果满意,植骨全部获得愈合,无假体因松动需再次翻修,无并发症发生,是处理髋臼骨缺损的有效方法。真对此项研究还需对更多病例进行长期的疗效观察,以及不同的原发病,如:髋臼发育不良、类风湿性关节炎和髋关节翻修等对疗效的影响观察,以及手术年龄特别是小于50岁对远期疗效的影响。



京公网安备11010502051256号