膝关节置换典型病例讨论一则
2013-01-09 文章来源:第三军医大学附属西南医院 杨柳教授 我要说
骨科在线版权所有,如需转载请注明来自本网站
病史简介:
患者 女性 68岁
病史:右膝关节疼痛8年,加重伴跛行4年
左膝关节疼痛9月。
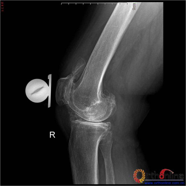
诊断:双膝关节重度骨性关节炎(右侧重)
术前查体:
ROM 右膝10-100°
右膝关节过伸过屈痛(+),压髌、磨髌试验(+),侧方应力试验(-),内侧关节间隙压痛(+)
术前HSS评分 56分

图1

图2
图1、2为术前X片
术前实验室检查:HGB 143 g/L
WBC 7.6×109/L
中性比 54.8%
ESR 17mm/H
CRP 0.5mg/dl
查看更多病例请点击分专业病例讨论页面:http://www.orthonline.com.cn/speciality/joint



京公网安备11010502051256号